Description
KRT6A/KRT6B/KRT6C Antibody (PACO17701)
The KRT6A/KRT6B/KRT6C Antibody (PAC017701) is a polyclonal antibody specifically designed for research involving keratins 6A, 6B, and 6C, which are intermediate filament proteins found in epithelial tissues. The antibody, generated in rabbits, exhibits high reactivity with human samples and has been validated for use in Western blot applications. It binds to the KRT6A, KRT6B, and KRT6C proteins, allowing for their detection and analysis in various cell types, making it suitable for studies in dermatology, cancer biology, and stem cell research.KRT6A, KRT6B, and KRT6C are crucial components of the cytoskeleton in epithelial cells, contributing to the structural integrity and resilience of these tissues.
Dysregulation of these keratins has been implicated in various skin disorders, such as psoriasis, eczema, and skin cancer. By studying the expression and function of KRT6A, KRT6B, and KRT6C, researchers can gain insights into the pathogenesis of these conditions and potentially identify therapeutic targets for intervention.Overall, the KRT6A/KRT6B/KRT6C Antibody (PAC017701) serves as a valuable tool for investigating the roles of these keratins in epithelial biology and disease pathogenesis, offering potential avenues for the development of novel treatments and diagnostics
| Antibody Name: | KRT6A/KRT6B/KRT6C Antibody (PACO17701) |
| Antibody SKU: | PACO17701 |
| Size: | 50ul |
| Host Species: | Rabbit |
| Tested Applications: | ELISA, IHC |
| Recommended Dilutions: | ELISA:1:2000-1:5000, IHC:1:50-1:200 |
| Species Reactivity: | Human, Mouse |
| Immunogen: | Synthetic peptide of human KRT6A/KRT6B/KRT6C |
| Form: | Liquid |
| Storage Buffer: | -20°C, pH7.4 PBS, 0.05% NaN3, 40% Glycerol |
| Purification Method: | Antigen affinity purification |
| Clonality: | Polyclonal |
| Isotype: | IgG |
| Conjugate: | Non-conjugated |
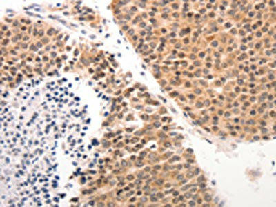
![]() | The image on the left is immunohistochemistry of paraffin-embedded Human ovarian cancer tissue using PACO17701(KRT6A/KRT6B/KRT6C Antibody) at dilution 1/50, on the right is treated with synthetic peptide. (Original magnification: x200). |
![]() | The image on the left is immunohistochemistry of paraffin-embedded Human breast cancer tissue using PACO17701(KRT6A/KRT6B/KRT6C Antibody) at dilution 1/50, on the right is treated with synthetic peptide. (Original magnification: x200). |
| Background: | The protein encoded by this gene is a member of the keratin gene family. The type II cytokeratins consist of basic or neutral proteins which are arranged in pairs of heterotypic keratin chains coexpressed during differentiation of simple and stratified epithelial tissues. As many as six of this type II cytokeratin (KRT6) have been identified; the multiplicity of the genes is attributed to successive gene duplication events. The genes are expressed with family members KRT16 and/or KRT17 in the filiform papillae of the tongue, the stratified epithelial lining of oral mucosa and esophagus, the outer root sheath of hair follicles, and the glandular epithelia. This KRT6 gene in particular encodes the most abundant isoform. Mutations in these genes have been associated with pachyonychia congenita. The type II cytokeratins are clustered in a region of chromosome 12q12-q13. |
| Synonyms: | keratin 6A/keratin 6B/keratin 6C |
| UniProt Protein Function: | K6a: a type II cytoskeletal keratin. The keratins are intermediate filament proteins responsible for the structural integrity of epithelial cells and are subdivided into cytokeratins and hair keratins. There are two types of cytoskeletal and microfibrillar keratin: type I (acidic; 40-55 kDa) [K9 to K20] and type II (neutral to basic; 56-70 kDa) [K1 to K8]. Both a basic and an acidic keratin are required for filament assembly. Associates with K16 and/or -17. |
| UniProt Protein Details: | Protein type:Cytoskeletal Chromosomal Location of Human Ortholog: 12q13.13 Cellular Component: membrane; keratin filament; nucleus Molecular Function:protein binding; structural constituent of cytoskeleton Biological Process: wound healing; positive regulation of cell proliferation; morphogenesis of an epithelium; cell differentiation Disease: Pachyonychia Congenita 3 |
| NCBI Summary: | The protein encoded by this gene is a member of the keratin gene family. The type II cytokeratins consist of basic or neutral proteins which are arranged in pairs of heterotypic keratin chains coexpressed during differentiation of simple and stratified epithelial tissues. As many as six of this type II cytokeratin (KRT6) have been identified; the multiplicity of the genes is attributed to successive gene duplication events. The genes are expressed with family members KRT16 and/or KRT17 in the filiform papillae of the tongue, the stratified epithelial lining of oral mucosa and esophagus, the outer root sheath of hair follicles, and the glandular epithelia. This KRT6 gene in particular encodes the most abundant isoform. Mutations in these genes have been associated with pachyonychia congenita. In addition, peptides from the C-terminal region of the protein have antimicrobial activity against bacterial pathogens. The type II cytokeratins are clustered in a region of chromosome 12q12-q13. [provided by RefSeq, Oct 2014] |
| UniProt Code: | P02538 |
| NCBI GenInfo Identifier: | 1346344 |
| NCBI Gene ID: | 3853 |
| NCBI Accession: | P02538.3 |
| UniProt Related Accession: | P02538 |
| Molecular Weight: | 60kDa |
| NCBI Full Name: | Keratin, type II cytoskeletal 6A |
| NCBI Synonym Full Names: | keratin 6A |
| NCBI Official Symbol: | KRT6A |
| NCBI Official Synonym Symbols: | K6A; K6C; K6D; PC3; CK6A; CK6C; CK6D; CK-6C; CK-6E; KRT6C; KRT6D |
| NCBI Protein Information: | keratin, type II cytoskeletal 6A |
| UniProt Protein Name: | Keratin, type II cytoskeletal 6A |
| UniProt Synonym Protein Names: | Cytokeratin-6A; CK-6A; Cytokeratin-6D; CK-6D; Keratin-6A; K6A; Type-II keratin Kb6; Allergen: Hom s 5 |
| UniProt Gene Name: | KRT6A |
| UniProt Entry Name: | K2C6A_HUMAN |

