The IMMP2L Polyclonal Antibody (PACO45546) is a valuable tool for researchers studying the IMMP2L protein, which is implicated in mitochondrial function and cellular energy metabolism. This antibody, raised in rabbits, is highly specific for human samples and is validated for use in Western blot applications. By targeting the IMMP2L protein, this antibody allows for the detection and analysis of IMMP2L expression in various cell types, making it ideal for studies in mitochondrial biology and metabolic disorders.IMMP2L, also known as inner mitochondrial membrane peptidase subunit 2, plays a crucial role in mitochondrial protein processing and maintenance of mitochondrial function.
Dysregulation of IMMP2L has been linked to various metabolic diseases, making it a promising target for research into conditions such as diabetes, obesity, and mitochondrial disorders. Understanding the function of IMMP2L is essential for developing therapeutic strategies aimed at restoring mitochondrial health and metabolic balance in these disease settings.
Antibody Name:
IMMP2L Antibody (PACO45546)
Antibody SKU:
PACO45546
Size:
50ul
Host Species:
Rabbit
Tested Applications:
ELISA, IHC
Recommended Dilutions:
ELISA:1:2000-1:10000, IHC:1:20-1:200
Species Reactivity:
Human
Immunogen:
Recombinant Human Mitochondrial inner membrane protease subunit 2 protein (1-100AA)
Form:
Liquid
Storage Buffer:
PBS with 0.02% sodium azide, 50% glycerol, pH7.3.
Purification Method:
Antigen Affinity Purified
Clonality:
Polyclonal
Isotype:
IgG
Conjugate:
Non-conjugated
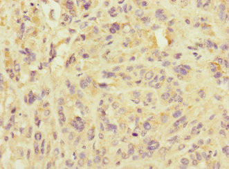
Immunohistochemistry of paraffin-embedded human melanoma using PACO45546 at dilution of 1:100.
Background:
Catalyzes the removal of transit peptides required for the targeting of proteins from the mitochondrial matrix, across the inner membrane, into the inter-membrane space. Known to process the nuclear encoded protein DIABLO.
IMMP2L: Catalyzes the removal of transit peptides required for the targeting of proteins from the mitochondrial matrix, across the inner membrane, into the inter-membrane space. Known to process the nuclear encoded protein DIABLO. Defects in IMMP2L may be a cause of Gilles de la Tourette syndrome (GTS). GTS is a neurologic disorder manifested particularly by motor and vocal tics and associated with behavioral abnormalities. Belongs to the peptidase S26 family. IMP2 subfamily. 2 isoforms of the human protein are produced by alternative splicing.Protein type: EC 3.4.21.-; Mitochondrial; Membrane protein, integral; ProteaseChromosomal Location of Human Ortholog: 7q31Molecular Function: peptidase activity; serine-type endopeptidase activityBiological Process: mitochondrial protein processing; mitochondrial respiratory chain complex assembly; signal peptide processing
UniProt Protein Details:
NCBI Summary:
This gene encodes a protein involved in processing the signal peptide sequences used to direct mitochondrial proteins to the mitochondria. The encoded protein resides in the mitochondria and is one of the necessary proteins for the catalytic activity of the mitochondrial inner membrane peptidase (IMP) complex. Two variants that encode the same protein have been described for this gene. [provided by RefSeq, Sep 2011]