The IL17D Polyclonal Antibody (PAC019822) is a valuable tool for researchers studying the role of IL17D, a cytokine involved in immune responses and inflammation. This antibody, produced in rabbits, has high specificity for human samples and is validated for use in Western blot applications. By binding to IL17D, the antibody allows for accurate detection and analysis in a variety of cell types, making it a valuable asset for studies in immunology and oncology research.IL17D, a member of the interleukin-17 cytokine family, has been implicated in the regulation of immune responses and the development of inflammatory conditions.
Its role in promoting inflammation and influencing immune cell behavior has sparked interest in its potential as a therapeutic target for diseases such as cancer, autoimmune disorders, and chronic inflammatory conditions. Researchers can use this antibody to further explore the functions of IL17D and its impact on disease pathogenesis, ultimately leading to the development of novel treatment strategies.
Antibody Name:
IL17D Antibody (PACO19822)
Antibody SKU:
PACO19822
Size:
50ul
Host Species:
Rabbit
Tested Applications:
ELISA, IHC
Recommended Dilutions:
ELISA:1:2000-1:5000, IHC:1:50-1:200
Species Reactivity:
Human
Immunogen:
Synthetic peptide of human IL17D
Form:
Liquid
Storage Buffer:
-20°C, pH7.4 PBS, 0.05% NaN3, 40% Glycerol
Purification Method:
Antigen affinity purification
Clonality:
Polyclonal
Isotype:
IgG
Conjugate:
Non-conjugated
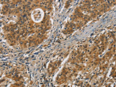
The image on the left is immunohistochemistry of paraffin-embedded Human gastric cancer tissue using PACO19822(IL17D Antibody) at dilution 1/50, on the right is treated with synthetic peptide. (Original magnification: x200).
The image on the left is immunohistochemistry of paraffin-embedded Human tonsil tissue using PACO19822(IL17D Antibody) at dilution 1/50, on the right is treated with synthetic peptide. (Original magnification: x200).
Background:
The protein encoded by this gene is a cytokine that shares the sequence similarity with IL17. The treatment of endothelial cells with this cytokine has been shown to stimulate the production of other cytokines including IL6, IL8 and CSF2/ GM-CSF. The increased expression of IL8 induced by this cytokine was found to be NF-κ B-dependent.
Synonyms:
interleukin 17D
UniProt Protein Function:
IL17D: Induces expression of IL-6, IL-8, and GM-CSF from endothelial cells. Belongs to the IL-17 family.
UniProt Protein Details:
Protein type:Secreted, signal peptide; Secreted; Cytokine
Biological Process: cell surface receptor linked signal transduction; inflammatory response
NCBI Summary:
The protein encoded by this gene is a cytokine that shares the sequence similarity with IL17. The treatment of endothelial cells with this cytokine has been shown to stimulate the production of other cytokines including IL6, IL8 and CSF2/ GM-CSF. The increased expression of IL8 induced by this cytokine was found to be NF-kappa B-dependent. [provided by RefSeq, Jul 2008]