Description
GDF11 Antibody (PACO64251)
The GDF11 Polyclonal Antibody (PAC064251) is a crucial tool for researchers studying the protein GDF11, which is involved in various physiological processes such as development, aging, and tissue regeneration. This antibody, produced in rabbits, is highly specific to human samples and has been validated for use in Western blot applications. It binds to the GDF11 protein, allowing for precise detection and analysis in different cell types, making it an excellent choice for studies in developmental biology and regenerative medicine.
GDF11, a member of the TGF-beta superfamily, has been shown to have regulatory effects on stem cell differentiation, muscle regeneration, and neuroprotection. Its role in controlling these processes makes it a promising target for research into age-related diseases, muscle wasting disorders, and neurodegenerative conditions. By understanding the functions of GDF11, researchers can potentially develop therapies to promote tissue repair and combat age-related degeneration.
| Antibody Name: | GDF11 Antibody (PACO64251) |
| Antibody SKU: | PACO64251 |
| Size: | 50ul |
| Host Species: | Rabbit |
| Tested Applications: | ELISA, IHC |
| Recommended Dilutions: | IHC:1:100-1:500 |
| Species Reactivity: | Human |
| Immunogen: | Recombinant Human Growth/differentiation factor 11 protein (299-407AA) |
| Form: | Liquid |
| Storage Buffer: | Preservative: 0.03% Proclin 300 Constituents: 50% Glycerol, 0.01M PBS, PH 7.4 |
| Purification Method: | Antigen Affinity Purified |
| Clonality: | Polyclonal |
| Isotype: | IgG |
| Conjugate: | Non-conjugated |
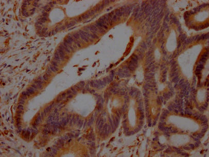
![]() | IHC image of PACO64251 diluted at 1:100 and staining in paraffin-embedded human colon cancer performed on a Leica BondTM system. After dewaxing and hydration, antigen retrieval was mediated by high pressure in a citrate buffer (pH 6.0). Section was blocked with 10% normal goat serum 30min at RT. Then primary antibody (1% BSA) was incubated at 4°C overnight. The primary is detected by a Goat anti-rabbit polymer IgG labeled by HRP and visualized using 0.05% DAB. |
| Background: | Secreted signal that acts globally to specify positional identity along the anterior/posterior axis during development. Play critical roles in patterning both mesodermal and neural tissues and in establishing the skeletal pattern. |
| Synonyms: | Growth/differentiation factor 11 (GDF-11) (Bone morphogenetic protein 11) (BMP-11), GDF11, BMP11 |
| UniProt Protein Function: | GDF11: Secreted signal that acts globally to specify positional identity along the anterior/posterior axis during development. Play critical roles in patterning both mesodermal and neural tissues and in establishing the skeletal pattern. Belongs to the TGF-beta family. |
| UniProt Protein Details: | Protein type:Secreted, signal peptide; Secreted Chromosomal Location of Human Ortholog: 12q13.2 Cellular Component: extracellular space; intracellular membrane-bound organelle; nucleoplasm; protein complex Molecular Function:cytokine activity; growth factor activity; transforming growth factor beta receptor binding Biological Process: camera-type eye morphogenesis; cell development; cell maturation; growth; mesoderm development; metanephros development; negative regulation of cell proliferation; negative regulation of neuron differentiation; nervous system development; palate development; pancreas development; regulation of apoptosis; regulation of MAPKKK cascade; skeletal development; spinal cord anterior/posterior patterning; ureteric bud development |
| NCBI Summary: | The protein encoded by this gene is a member of the bone morphogenetic protein (BMP) family and the TGF-beta superfamily. This group of proteins is characterized by a polybasic proteolytic processing site which is cleaved to produce a mature protein containing seven conserved cysteine residues. The members of this family are regulators of cell growth and differentiation in both embryonic and adult tissues. Studies in mice and Xenopus suggest that this protein is involved in mesodermal formation and neurogenesis during embryonic development. [provided by RefSeq, Jul 2008] |
| UniProt Code: | O95390 |
| NCBI GenInfo Identifier: | 12643335 |
| NCBI Gene ID: | 10220 |
| NCBI Accession: | O95390.1 |
| UniProt Secondary Accession: | O95390,Q9UID1, Q9UID2, |
| UniProt Related Accession: | O95390 |
| Molecular Weight: | 45,091 Da |
| NCBI Full Name: | Growth/differentiation factor 11 |
| NCBI Synonym Full Names: | growth differentiation factor 11 |
| NCBI Official Symbol: | GDF11 |
| NCBI Official Synonym Symbols: | BMP11; BMP-11 |
| NCBI Protein Information: | growth/differentiation factor 11 |
| UniProt Protein Name: | Growth/differentiation factor 11 |
| UniProt Synonym Protein Names: | Bone morphogenetic protein 11; BMP-11 |
| UniProt Gene Name: | GDF11 |
| UniProt Entry Name: | GDF11_HUMAN |
| ELISA Kits |
| Human GDF11 ELISA Kit |
| Human GDF11 (Growth Differentiation Factor 11) CLIA Kit (HUES01053) |
| Human Growth/differentiation factor 11 (GDF11) ELISA Kit |
| Secondary Antibody |
| Anti-HRP Goat Anti-Rabbit IgG (H+L) Antibody (CABS014) |
| Recommended Products |
| Anti-FITC Goat Anti-Rabbit IgG (H+L) Antibody (CABS011) |
| Anti-HRP-conjugated Beta Actin Antibody (CABC028) |
