The FCHO1 Polyclonal Antibody (PAC05764) is a valuable tool for researchers studying the function of the FCHO1 protein, which plays a role in clathrin-mediated endocytosis. This antibody, raised in rabbits, is highly specific to human samples and has been validated for use in Western blot applications.FCHO1 is a key player in the process of internalizing cell surface receptors, such as growth factor receptors and nutrient transporters, into the cell. Dysregulation of endocytosis has been implicated in various diseases, including cancer and neurodegenerative disorders.
Therefore, studying the function of FCHO1 is essential for understanding these disease processes and developing potential therapeutic interventions.By using the FCHO1 Polyclonal Antibody, researchers can detect and analyze the expression of FCHO1 in different cell types, allowing for insights into its role in endocytosis and its potential implications in various disease states. This antibody is a valuable tool for studies in cell biology, cancer research, and drug development.
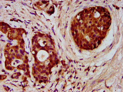
IHC image of PACO57764 diluted at 1:300 and staining in paraffin-embedded human pancreatic cancer performed on a Leica BondTM system. After dewaxing and hydration, antigen retrieval was mediated by high pressure in a citrate buffer (pH 6.0). Section was blocked with 10% normal goat serum 30min at RT. Then primary antibody (1% BSA) was incubated at 4°C overnight. The primary is detected by a biotinylated secondary antibody and visualized using an HRP conjugated SP system.
Immunofluorescence staining of MCF-7 cells with PACO57764 at 1:100, counter-stained with DAPI. The cells were fixed in 4% formaldehyde, permeabilized using 0.2% Triton X-100 and blocked in 10% normal Goat Serum. The cells were then incubated with the antibody overnight at 4°C. The secondary antibody was Alexa Fluor 488-congugated AffiniPure Goat Anti-Rabbit IgG(H+L).
IHC image of PACO57764 diluted at 1:300 and staining in paraffin-embedded human appendix tissue performed on a Leica BondTM system. After dewaxing and hydration, antigen retrieval was mediated by high pressure in a citrate buffer (pH 6.0). Section was blocked with 10% normal goat serum 30min at RT. Then primary antibody (1% BSA) was incubated at 4°C overnight. The primary is detected by a biotinylated secondary antibody and visualized using an HRP conjugated SP system.
Background:
Functions in an early step of clathrin-mediated endocytosis. Has both a membrane binding/bending activity and the ability to recruit proteins essential to the formation of functional clathrin-coated pits. May regulate Bmp signaling by regulating clathrin-mediated endocytosis of Bmp receptors.
Synonyms:
F-BAR domain only protein 1, FCHO1, KIAA0290
UniProt Protein Function:
Functions in an early step of clathrin-mediated endocytosis. Has both a membrane binding/bending activity and the ability to recruit proteins essential to the formation of functional clathrin-coated pits. May regulate Bmp signaling by regulating clathrin-mediated endocytosis of Bmp receptors.