The ENOSF1 Polyclonal Antibody (PAC058204) is a valuable tool for researchers studying ENOSF1, a protein involved in the regulation of cell metabolism and energy production. This antibody, produced in rabbits, exhibits high specificity and sensitivity for human samples, making it ideal for use in Western blot applications.ENOSF1, also known as Nit1, is a key player in cellular energy metabolism, particularly in the citric acid cycle. This protein is implicated in various physiological processes, including fatty acid synthesis and redox regulation.
Its dysregulation has been linked to metabolic disorders and cancer.By targeting ENOSF1 with this polyclonal antibody, researchers can analyze the expression and function of this protein in different cell types and contexts. This antibody is a crucial tool for advancing our understanding of ENOSF1's role in metabolic pathways and disease progression, making it an essential component of studies in biochemistry and cancer biology.
Antibody Name:
ENOSF1 Antibody (PACO58204)
Antibody SKU:
PACO58204
Size:
50ug
Host Species:
Rabbit
Tested Applications:
ELISA, IHC
Recommended Dilutions:
ELISA:1:2000-1:10000, IHC:1:200-1:500
Species Reactivity:
Human
Immunogen:
Recombinant Human Mitochondrial enolase superfamily member 1 protein (171-286AA)
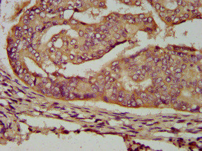
IHC image of PACO58204 diluted at 1:200 and staining in paraffin-embedded human endometrial cancer performed on a Leica BondTM system. After dewaxing and hydration, antigen retrieval was mediated by high pressure in a citrate buffer (pH 6.0). Section was blocked with 10% normal goat serum 30min at RT. Then primary antibody (1% BSA) was incubated at 4°C overnight. The primary is detected by a biotinylated secondary antibody and visualized using an HRP conjugated SP system.
IHC image of PACO58204 diluted at 1:200 and staining in paraffin-embedded human kidney tissue performed on a Leica BondTM system. After dewaxing and hydration, antigen retrieval was mediated by high pressure in a citrate buffer (pH 6.0). Section was blocked with 10% normal goat serum 30min at RT. Then primary antibody (1% BSA) was incubated at 4°C overnight. The primary is detected by a biotinylated secondary antibody and visualized using an HRP conjugated SP system.
Background:
Plays a role in the catabolism of L-fucose, a sugar that is part of the carbohydrates that are attached to cellular glycoproteins. Catalyzes the dehydration of L-fuconate to 2-keto-3-deoxy-L-fuconate by the abstraction of the 2-proton to generate an enediolate intermediate that is stabilized by the magnesium ion.
Synonyms:
Mitochondrial enolase superfamily member 1 (EC 4.2.1.68) (Antisense RNA to thymidylate synthase) (rTS) (L-fuconate dehydratase), ENOSF1, RTS TYMSAS
UniProt Protein Function:
ENOSF1: May regulate thymidylate synthase activity. Belongs to the mandelate racemase/muconate lactonizing enzyme family. ENOSF1 subfamily. 3 isoforms of the human protein are produced by alternative splicing.Protein type: Mitochondrial; Isomerase; EC 4.2.1.68Chromosomal Location of Human Ortholog: 18p11.32Molecular Function: L-fuconate dehydratase activity; magnesium ion bindingBiological Process: cellular carbohydrate catabolic process
UniProt Protein Details:
NCBI Summary:
This gene was originally identified as a naturally occurring antisense transcript to the human thymidylate synthase gene. Alternate splice variants have been described, one of which (named rTSalpha) represents an alternate 3'UTR that is complementary to the 3'UTR and terminal intron of the thymidylate synthase (TS) RNA and down-regulates TS expression. Other transcript variants (rTSbeta and rTSgamma) do not overlap the TS locus. The function of this gene appears to be primarily to regulate expression of the TS locus both via the antisense transcript as well as through the encoded proteins. [provided by RefSeq, Mar 2010]