The eIF4EBP1 Polyclonal Antibody (CAB16667) is a valuable tool for researchers investigating eIF4EBP1, a key protein involved in the regulation of translation initiation. This antibody, produced in rabbits, is highly specific for human samples and has been validated for use in Western blot applications. By binding to the eIF4EBP1 protein, this antibody allows for the detection and analysis of eIF4EBP1 in a variety of cell types, making it ideal for studies in molecular biology and cancer research.eIF4EBP1 is a critical regulator of protein synthesis and cell growth, playing a key role in pathways relevant to cancer development and progression.
Its dysregulation has been implicated in various diseases, making it a promising target for therapeutic interventions. Understanding the function of eIF4EBP1 is essential for the development of targeted therapies aiming to modulate protein synthesis in the context of cancer and other diseases.Overall, the eIF4EBP1 Polyclonal Antibody (CAB16667) offers researchers a reliable tool for studying the role of eIF4EBP1 in cellular processes, providing valuable insights into potential therapeutic strategies for diseases where eIF4EBP1 plays a critical role.
Product Name:
eIF4EBP1 Rabbit Polyclonal Antibody
SKU:
CAB16667
Size:
20uL, 100uL
Isotype:
IgG
Host Species:
Rabbit
Reactivity:
Human,Mouse,Rat
Immunogen:
Recombinant fusion protein containing a sequence corresponding to amino acids 1-118 of human eIF4EBP1 (NP_004086.1).
This gene encodes one member of a family of translation repressor proteins. The protein directly interacts with eukaryotic translation initiation factor 4E (eIF4E), which is a limiting component of the multisubunit complex that recruits 40S ribosomal subunits to the 5' end of mRNAs. Interaction of this protein with eIF4E inhibits complex assembly and represses translation. This protein is phosphorylated in response to various signals including UV irradiation and insulin signaling, resulting in its dissociation from eIF4E and activation of mRNA translation.
Purification Method:
Affinity purification
Gene ID:
1978
Storage Buffer:
Store at -20℃. Avoid freeze / thaw cycles.Buffer: PBS with 0.02% sodium azide,50% glycerol,pH7.3.
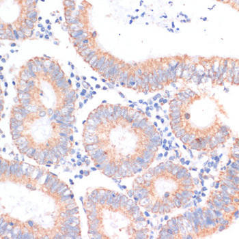
Immunohistochemistry analysis of paraffin-embedded human colon carcinoma using eIF4EBP1 Rabbit pAb (CAB16667) at dilution of 1:100 (40x lens).Perform microwave antigen retrieval with 10 mM PBS buffer pH 7.2 before commencing with IHC staining protocol.