The Dynactin Subunit 6 (DYNCT1LI1) Antibody (PAC062651) is a valuable tool for researchers studying the cellular functions of DYNCT1LI1, a key component of the dynactin complex involved in intracellular transport and organelle positioning. This polyclonal antibody, produced in rabbits, exhibits high reactivity with human samples and has been validated for use in various applications, including Western blotting.DYNCT1LI1 is known to interact with dynein motor proteins to facilitate the movement of cargo along microtubules within the cell. Dysregulation of this process has been implicated in various diseases, including neurodegenerative disorders and cancer.
By specifically binding to the DYNCT1LI1 protein, this antibody enables researchers to detect and analyze its expression in different cell types, providing valuable insights into its role in cellular transport mechanisms.The DYNCT1LI1 Antibody is an essential tool for advancing research in cell biology, neuroscience, and cancer biology. By studying the functions of DYNCT1LI1, researchers can gain a better understanding of intracellular transport processes and potentially identify new therapeutic targets for the treatment of disorders associated with aberrant cellular trafficking.
Antibody Name:
DYNC1LI1 Antibody (PACO62651)
Antibody SKU:
PACO62651
Size:
50ul
Host Species:
Rabbit
Tested Applications:
ELISA, IHC
Recommended Dilutions:
ELISA:1:2000-1:10000, IHC:1:200-1:500
Species Reactivity:
Human
Immunogen:
Recombinant Human Cytoplasmic dynein 1 light intermediate chain 1 protein (167-233AA)
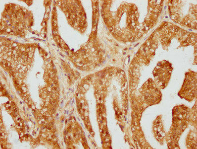
IHC image of PACO62651 diluted at 1:200 and staining in paraffin-embedded human prostate cancer performed on a Leica BondTM system. After dewaxing and hydration, antigen retrieval was mediated by high pressure in a citrate buffer (pH 6.0). Section was blocked with 10% normal goat serum 30min at RT. Then primary antibody (1% BSA) was incubated at 4°C overnight. The primary is detected by a biotinylated secondary antibody and visualized using an HRP conjugated SP system.
Background:
Acts as one of several non-catalytic accessory components of the cytoplasmic dynein 1 complex that are thought to be involved in linking dynein to cargos and to adapter proteins that regulate dynein function. Cytoplasmic dynein 1 acts as a motor for the intracellular retrograde motility of vesicles and organelles along microtubules. May play a role in binding dynein to membranous organelles or chromosomes. Probably involved in the microtubule-dependent transport of pericentrin. Is required for progress through the spindle assembly checkpoint. The phosphorylated form appears to be involved in the selective removal of MAD1L1 and MAD1L2 but not BUB1B from kinetochores.
The protein encoded by this gene belongs to light intermediate subunit family, whose members are components of the multiprotein cytoplasmic dynein complex, which is involved in intracellular trafficking and chromosome segregation during mitosis. The protein plays a role in moving the spindle assembly checkpoint (SAC) from kinetochores to spindle poles. The protein may also mediate binding to other cargo molecules to facilitate intracellular vesicle trafficking. [provided by RefSeq, Jul 2016]