The CUL7 Polyclonal Antibody (PACO59045) is a crucial tool for researchers studying the CUL7 protein, a key component of the Cullin-RING E3 ubiquitin ligase complex. This antibody, produced in rabbits, shows high specificity and reactivity towards human samples, making it a reliable choice for Western blot applications. By targeting the CUL7 protein, this antibody enables accurate detection and analysis in a variety of cell types, facilitating investigations in fields such as molecular biology, cell signaling, and cancer research.CUL7 is involved in the regulation of protein degradation and turnover, playing a vital role in various cellular processes such as cell cycle progression, DNA repair, and signal transduction.
Dysregulation of the CUL7 pathway has been linked to the development and progression of cancer, making it a potential therapeutic target for cancer treatment. By studying the function and expression of CUL7 using this antibody, researchers can gain valuable insights into the mechanisms underlying tumorigenesis and identify new strategies for cancer therapy.
IHC image of PACO59045 diluted at 1:600 and staining in paraffin-embedded human endometrial cancer performed on a Leica BondTM system. After dewaxing and hydration, antigen retrieval was mediated by high pressure in a citrate buffer (pH 6.0). Section was blocked with 10% normal goat serum 30min at RT. Then primary antibody (1% BSA) was incubated at 4°C overnight. The primary is detected by a biotinylated secondary antibody and visualized using an HRP conjugated SP system.
Immunofluorescence staining of HepG2 cells with PACO59045 at 1:200, counter-stained with DAPI. The cells were fixed in 4% formaldehyde, permeabilized using 0.2% Triton X-100 and blocked in 10% normal Goat Serum. The cells were then incubated with the antibody overnight at 4°C. The secondary antibody was Alexa Fluor 488-congugated AffiniPure Goat Anti-Rabbit IgG(H+L).
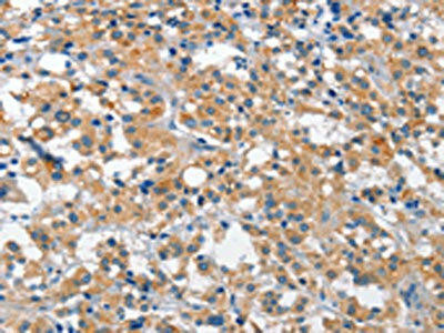
IHC image of PACO59045 diluted at 1:600 and staining in paraffin-embedded human liver cancer performed on a Leica BondTM system. After dewaxing and hydration, antigen retrieval was mediated by high pressure in a citrate buffer (pH 6.0). Section was blocked with 10% normal goat serum 30min at RT. Then primary antibody (1% BSA) was incubated at 4°C overnight. The primary is detected by a biotinylated secondary antibody and visualized using an HRP conjugated SP system.
Background:
Core component of the 3M and Cul7-RING(FBXW8) complexes, which mediates the ubiquitination of target proteins. Core component of the 3M complex, a complex required to regulate microtubule dynamics and genome integrity. It is unclear how the 3M complex regulates microtubules, it could act by controlling the level of a microtubule stabilizer. Interaction with CUL9 is required to inhibit CUL9 activity and ubiquitination of BIRC5. Core component of a Cul7-RING ubiquitin-protein ligase with FBXW8, which mediates ubiquitination and consequent degradation of target proteins such as GORASP1, IRS1 and MAP4K1/HPK1. Ubiquitination of GORASP1 regulates Golgi morphogenesis and dendrite patterning in brain. Mediates ubiquitination and degradation of IRS1 in a mTOR-dependent manner: the Cul7-RING(FBXW8) complex recognizes and binds IRS1 previously phosphorylated by S6 kinase (RPS6KB1 or RPS6KB2). The Cul7-RING(FBXW8) complex also mediates ubiquitination of MAP4K1/HPK1: recognizes and binds autophosphorylated MAP4K1/HPK1, leading to its degradatation, thereby affecting cell proliferation and differentiation. Acts as a regulator in trophoblast cell epithelial-mesenchymal transition and placental development. Does not promote polyubiquitination and proteasomal degradation of p53/TP53. While the Cul7-RING(FBXW8) and the 3M complexes are associated and involved in common processes, CUL7 and the Cul7-RING(FBXW8) complex may be have additional functions.
Synonyms:
Cullin-7 (CUL-7), CUL7, KIAA0076
UniProt Protein Function:
CUL7: Component of a probable SCF-like E3 ubiquitin-protein ligase complex, which mediates the ubiquitination and subsequent proteasomal degradation of target proteins. Probably plays a role in the degradation of proteins involved in endothelial proliferation and/or differentiation. Seems not to promote polyubiquitination and proteasomal degradation of TP53. In vitro, complexes of CUL7 with either CUL9 or FBXW8 or TP53 contain E3 ubiquitin-protein ligase activity. Defects in CUL7 are the cause of 3M syndrome type 1 (3M1). An autosomal recessive disorder characterized by severe pre- and postnatal growth retardation, facial dysmorphism, large head circumference, and normal intelligence and endocrine function. Skeletal changes include long slender tubular bones and tall vertebral bodies. Belongs to the cullin family.Protein type: Ubiquitin conjugating systemChromosomal Location of Human Ortholog: 6p21.1Cellular Component: nucleoplasm; Golgi apparatus; centrosome; anaphase-promoting complex; perinuclear region of cytoplasm; cytoplasm; cytosol; nucleusMolecular Function: protein binding; ubiquitin protein ligase bindingBiological Process: ubiquitin-dependent protein catabolic process; viral reproduction; unfolded protein response; protein ubiquitination; microtubule cytoskeleton organization and biogenesis; positive regulation of dendrite morphogenesis; proteolysis; cellular protein metabolic process; unfolded protein response, activation of signaling protein activity; cytokinesis after mitosis; epithelial to mesenchymal transition; regulation of mitosis; vasculogenesis; Golgi organization and biogenesis; placenta developmentDisease: Three M Syndrome 1
UniProt Protein Details:
NCBI Summary:
The protein encoded by this gene is a component of an E3 ubiquitin-protein ligase complex. The encoded protein interacts with TP53, CUL9, and FBXW8 proteins. Defects in this gene are a cause of 3M syndrome type 1 (3M1). Two transcript variants encoding different isoforms have been found for this gene. [provided by RefSeq, Dec 2009]