Description
| 抗体名: | CLEC3B Antibody (PACO43325) |
| 抗体コード: | PACO43325 |
| サイズ: | 50ul |
| 宿主種: | Rabbit |
| 申し込み: | ELISA, IHC |
| 推奨される希釈: | ELISA:1:2000-1:10000, IHC:1:20-1:200 |
| 反応性: | Human |
| 免疫原: | Recombinant Human Tetranectin protein (22-202AA) |
| 憲法: | Liquid |
| ストレージバッファ: | PBS with 0.02% sodium azide, 50% glycerol, pH7.3. |
| 精製方法: | Antigen Affinity Purified |
| 抗体のクローン性: | Polyclonal |
| アイソタイプ: | IgG |
| Conjugate: | Non-conjugated |
![]() | Immunohistochemistry of paraffin-embedded human lung cancer using PACO43325 at dilution of 1:100. |
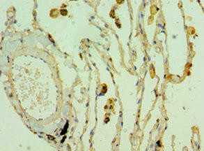
![]() | Immunohistochemistry of paraffin-embedded human kidney tissue using PACO43325 at dilution of 1:100. |
| バックグラウンド: | Tetranectin binds to plasminogen and to isolated kringle 4. May be involved in the packaging of molecules destined for exocytosis. |
| シノニム: | Tetranectin (TN) (C-type lectin domain family 3 member B) (Plasminogen kringle 4-binding protein), CLEC3B, TNA |
| UniProt Protein Function: | CLEC3B: Tetranectin binds to plasminogen and to isolated kringle 4. May be involved in the packaging of molecules destined for exocytosis. |
| UniProt Protein Details: | Protein type:Secreted; Secreted, signal peptide Chromosomal Location of Human Ortholog: 3p22-p21.3 Cellular Component: extracellular matrix; extracellular space; granular component; cytoplasm; extracellular region Molecular Function:heparin binding; calcium ion binding; carbohydrate binding Biological Process: ossification; skeletal development; bone mineralization |
| UniProt Code: | P05452 |
| NCBI GenInfo Identifier: | 317373499 |
| NCBI Gene ID: | 7123 |
| NCBI Accession: | P05452.3 |
| UniProt Related Accession: | P05452 |
| Molecular Weight: | |
| NCBI Full Name: | Tetranectin |
| NCBI Synonym Full Names: | C-type lectin domain family 3 member B |
| NCBI Official Symbol: | CLEC3B |
| NCBI Official Synonym Symbols: | TN; TNA |
| NCBI Protein Information: | tetranectin |
| UniProt Protein Name: | Tetranectin |
| UniProt Synonym Protein Names: | C-type lectin domain family 3 member B; Plasminogen kringle 4-binding protein |
| Protein Family: | Tetranectin |
| UniProt Gene Name: | CLEC3B |
| UniProt Entry Name: | TETN_HUMAN |
| Antibodies | ELISA Kits |
| Anti-CLEC3B Antibody (CAB12358) | Human Tetranectin (CLEC3B) ELISA Kit |
| Anti-CLEC3B Antibody (CAB6418) | |
| Anti-Tetranectin Antibody (CAB4387) |
| Secondary Antibody |
| Anti-HRP Goat Anti-Rabbit IgG (H+L) Antibody (CABS014) |
| Recommended Products |
| Anti-FITC Goat Anti-Rabbit IgG (H+L) Antibody (CABS011) |
| Anti-HRP-conjugated Beta Actin Antibody (CABC028) |

