The CD44 Polyclonal Antibody (CAB16807) is a valuable tool for research involving CD44, a cell surface glycoprotein involved in cell adhesion, migration, and signaling. This antibody, developed with high specificity and affinity in rabbits, is optimized for use in various applications including Western blot, immunohistochemistry, and flow cytometry.CD44 has been implicated in numerous biological processes including lymphocyte activation, homing, and immune cell trafficking. Its role in cancer progression, stem cell function, and tissue regeneration makes it a key target for investigation in cancer biology and regenerative medicine. The CD44 Polyclonal Antibody enables precise detection and analysis of CD44 expression in various cell types and tissues, providing valuable insights into its function and potential therapeutic applications.
Researchers studying cell adhesion, migration, and signaling pathways, as well as those investigating cancer biology and regenerative medicine, will find the CD44 Polyclonal Antibody to be a valuable tool for their studies. Its high specificity and sensitivity, combined with its versatility in multiple research applications, make it an essential choice for advancing our understanding of CD44 and its diverse roles in health and disease.
Product Name:
CD44 Rabbit Polyclonal Antibody
SKU:
CAB16807
Size:
20uL, 100uL
Isotype:
IgG
Host Species:
Rabbit
Reactivity:
Human,Mouse,Rat
Immunogen:
Recombinant fusion protein containing a sequence corresponding to amino acids 148-247 of human CD44 (NP_000601.3).
Cell membrane, Single-pass type I membrane protein.
Calculated MW:
82kDa
Observed MW:
Refer to figures
The protein encoded by this gene is a cell-surface glycoprotein involved in cell-cell interactions, cell adhesion and migration. It is a receptor for hyaluronic acid (HA) and can also interact with other ligands, such as osteopontin, collagens, and matrix metalloproteinases (MMPs). This protein participates in a wide variety of cellular functions including lymphocyte activation, recirculation and homing, hematopoiesis, and tumor metastasis. Transcripts for this gene undergo complex alternative splicing that results in many functionally distinct isoforms, however, the full length nature of some of these variants has not been determined. Alternative splicing is the basis for the structural and functional diversity of this protein, and may be related to tumor metastasis.
Purification Method:
Affinity purification
Gene ID:
960
Storage Buffer:
Store at -20℃. Avoid freeze / thaw cycles.Buffer: PBS with 0.02% sodium azide,50% glycerol,pH7.3.
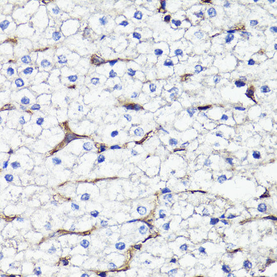
Immunohistochemistry analysis of paraffin-embedded human liver using CD44 Rabbit pAb (CAB16807) at dilution of 1:100 (40x lens).Perform microwave antigen retrieval with 10 mM PBS buffer pH 7.2 before commencing with IHC staining protocol.