Description
| 抗体名: | CCK Antibody (PACO43706) |
| 抗体コード: | PACO43706 |
| サイズ: | 50ul |
| 宿主種: | Rabbit |
| 申し込み: | ELISA, IHC |
| 推奨される希釈: | ELISA:1:2000-1:10000, IHC:1:20-1:200 |
| 反応性: | Human |
| 免疫原: | Recombinant Human Cholecystokinin protein (21-115AA) |
| 憲法: | Liquid |
| ストレージバッファ: | PBS with 0.02% sodium azide, 50% glycerol, pH7.3. |
| 精製方法: | Antigen Affinity Purified |
| 抗体のクローン性: | Polyclonal |
| アイソタイプ: | IgG |
| Conjugate: | Non-conjugated |
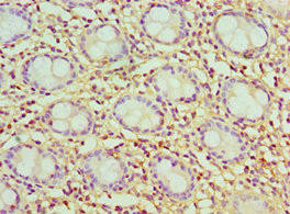
![]() | Immunohistochemistry of paraffin-embedded human colon tissue using PACO43706 at dilution of 1:100. |
![]() | Immunohistochemistry of paraffin-embedded human colon cancer using PACO43706 at dilution of 1:100. |
| バックグラウンド: | This peptide hormone induces gall bladder contraction and the release of pancreatic enzymes in the gut. Its function in the brain is not clear. Binding to CCK-A receptors stimulates amylase release from the pancreas, binding to CCK-B receptors stimulates gastric acid, secretion. |
| シノニム: | Cholecystokinin (CCK) [Cleaved into: Cholecystokinin-58 (CCK58); Cholecystokinin-58 desnonopeptide ((1-49)-CCK58); Cholecystokinin-39 (CCK39); Cholecystokinin-33 (CCK33); Cholecystokinin-25 (CCK25); Cholecystokinin-18 (CCK18); Cholecystokinin-12 (CCK12); Cholecystokinin-8 (CCK8); Cholecystokinin-7 (CCK7); Cholecystokinin-5 (CCK5)], CCK |
| UniProt Protein Function: | CCK: This peptide hormone induces gall bladder contraction and the release of pancreatic enzymes in the gut. Its function in the brain is not clear. Binding to CCK-A receptors stimulates amylase release from the pancreas, binding to CCK-B receptors stimulates gastric acid secretion. Belongs to the gastrin/cholecystokinin family. |
| UniProt Protein Details: | Protein type:Secreted; Hormone; Secreted, signal peptide; Cell development/differentiation Chromosomal Location of Human Ortholog: 3p22.1 Cellular Component: axon; axon hillock; dendrite; extracellular region; extracellular space; perikaryon; terminal button Molecular Function:hormone activity; neuropeptide hormone activity; protein binding Biological Process: axonogenesis; behavioral fear response; caspase activation; eating behavior; negative regulation of appetite; neuron migration; positive regulation of cell proliferation; positive regulation of glutamate secretion; positive regulation of mitochondrial depolarization; positive regulation of peptidyl-tyrosine phosphorylation; positive regulation of protein oligomerization; protein kinase C activation; regulation of sensory perception of pain; release of cytochrome c from mitochondria; signal transduction |
| NCBI Summary: | This gene encodes a member of the gastrin/cholecystokinin family of proteins. The encoded preproprotein is proteolytically processed to generate multiple protein products, including the peptide hormones cholecystokinin-8, -12, -33, and others. The encoded peptides have been shown to regulate gastric acid secretion and food intake. A sulfated form of cholecystokinin-8 may modulate neuronal activity in the brain. Alternative splicing results in multiple transcript variants. [provided by RefSeq, Nov 2015] |
| UniProt Code: | P06307 |
| NCBI GenInfo Identifier: | 115945 |
| NCBI Gene ID: | 885 |
| NCBI Accession: | P06307.1 |
| UniProt Related Accession: | P06307 |
| Molecular Weight: | 12,669 Da |
| NCBI Full Name: | Cholecystokinin |
| NCBI Synonym Full Names: | cholecystokinin |
| NCBI Official Symbol: | CCK |
| NCBI Protein Information: | cholecystokinin |
| UniProt Protein Name: | Cholecystokinin |
| UniProt Synonym Protein Names: | Cholecystokinin-58; CCK58 |
| UniProt Gene Name: | CCK |
| UniProt Entry Name: | CCKN_HUMAN |
| Antibodies | ELISA Kits |
| Anti-CCK Antibody (CAB1759) | Human CCK (Cholecystokinin) ELISA Kit |
| CCK Antibody (PACO05632) | Human Cholecystokinin (CCK) ELISA Kit |
| CCK Antibody (PACO08238) |
| Secondary Antibody |
| Anti-HRP Goat Anti-Rabbit IgG (H+L) Antibody (CABS014) |
| Recommended Products |
| Anti-FITC Goat Anti-Rabbit IgG (H+L) Antibody (CABS011) |
| Anti-HRP-conjugated Beta Actin Antibody (CABC028) |

