Description
CCIN Antibody (PACO58697)
The CCIN Antibody (PAC058697) is a highly specific polyclonal antibody designed for research involving CCIN, a cell surface molecule known for its role in immune regulation. This antibody, produced in rabbits, is optimized for use in Western blot applications and is highly reactive with human samples. By binding to the CCIN protein, this antibody allows for the detection and analysis of CCIN in various cell types, making it a valuable tool for studies in immunology and cancer research.CCIN is a key player in immune regulation, specifically inhibiting immune responses and modulating inflammation.
Understanding the function of CCIN is crucial for research into diseases such as cancer, autoimmune disorders, and chronic inflammatory conditions. By targeting CCIN, researchers can develop therapies aimed at modulating immune function for therapeutic purposes. In conclusion, the CCIN Antibody (PAC058697) is a reliable tool for investigating the role of CCIN in immune regulation and its potential implications in disease research. Its high reactivity and specificity make it an ideal choice for researchers interested in studying immune modulation and its impact on various health conditions.
| Antibody Name: | CCIN Antibody (PACO58697) |
| Antibody SKU: | PACO58697 |
| Size: | 50ug |
| Host Species: | Rabbit |
| Tested Applications: | ELISA, IHC, IF |
| Recommended Dilutions: | ELISA:1:2000-1:10000, IHC:1:200-1:500, IF:1:50-1:200 |
| Species Reactivity: | Human |
| Immunogen: | Recombinant Human Calicin protein (240-351AA) |
| Form: | Liquid |
| Storage Buffer: | Preservative: 0.03% Proclin 300 Constituents: 50% Glycerol, 0.01M PBS, pH 7.4 |
| Purification Method: | >95%, Protein G purified |
| Clonality: | Polyclonal |
| Isotype: | IgG |
| Conjugate: | Non-conjugated |
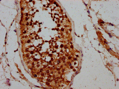
![]() | IHC image of PACO58697 diluted at 1:200 and staining in paraffin-embedded human testis tissue performed on a Leica BondTM system. After dewaxing and hydration, antigen retrieval was mediated by high pressure in a citrate buffer (pH 6.0). Section was blocked with 10% normal goat serum 30min at RT. Then primary antibody (1% BSA) was incubated at 4°C overnight. The primary is detected by a biotinylated secondary antibody and visualized using an HRP conjugated SP system. |
![]() | Immunofluorescence staining of HepG2 cells with PACO58697 at 1:66, counter-stained with DAPI. The cells were fixed in 4% formaldehyde, permeabilized using 0.2% Triton X-100 and blocked in 10% normal Goat Serum. The cells were then incubated with the antibody overnight at 4°C. The secondary antibody was Alexa Fluor 488-congugated AffiniPure Goat Anti-Rabbit IgG(H+L). |
| Background: | Possible morphogenetic cytoskeletal element in spermiogenic differentiation. |
| Synonyms: | Calicin, CCIN |
| UniProt Protein Function: | CCIN: Possible morphogenetic cytoskeletal element in spermiogenic differentiation. |
| UniProt Protein Details: | Chromosomal Location of Human Ortholog: 9p13.3 Cellular Component: nucleus Biological Process: multicellular organismal development; spermatogenesis; cell differentiation |
| NCBI Summary: | The protein encoded by this gene is a basic protein of the sperm head cytoskeleton. This protein contains kelch repeats and a BTB/POZ domain and is necessary for normal morphology during sperm differentiation. This gene is intronless. [provided by RefSeq, Jul 2008] |
| UniProt Code: | Q13939 |
| NCBI GenInfo Identifier: | 143811369 |
| NCBI Gene ID: | 881 |
| NCBI Accession: | Q13939.3 |
| UniProt Secondary Accession: | Q13939,Q9BXG7, |
| UniProt Related Accession: | Q13939 |
| Molecular Weight: | 66,582 Da |
| NCBI Full Name: | Calicin |
| NCBI Synonym Full Names: | calicin |
| NCBI Official Symbol: | CCIN |
| NCBI Official Synonym Symbols: | BTBD20; KBTBD14 |
| NCBI Protein Information: | calicin |
| UniProt Protein Name: | Calicin |
| Protein Family: | Calicin |
| UniProt Gene Name: | CCIN |
| UniProt Entry Name: | CALI_HUMAN |

