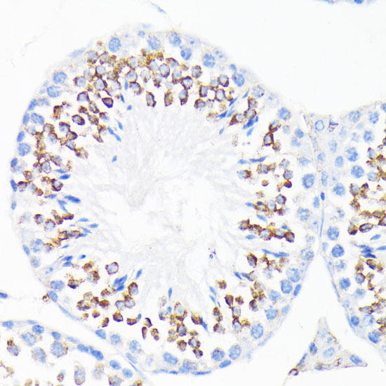
The CAM-Polyclonal Antibody (CAB1640) is a valuable tool for researchers studying CAM, a critical cell adhesion molecule involved in various cellular processes such as cell signaling, migration, and differentiation. This antibody, generated in rabbits, is highly specific for CAM and has been validated for use in applications such as immunohistochemistry and flow cytometry.CAM, also known as cell adhesion molecule, plays a crucial role in maintaining tissue integrity and orchestrating cell-cell interactions in development, immune response, and cancer progression.
Its dysregulation has been implicated in various disease states, making it a promising target for therapeutic interventions. The CAM-Polyclonal Antibody enables reliable detection and analysis of CAM expression in different cell types, paving the way for deeper insights into its functions and potential clinical applications.
Product Name:
CAMP Rabbit Polyclonal Antibody
SKU:
CAB1640
Size:
20uL, 100uL
Isotype:
IgG
Host Species:
Rabbit
Reactivity:
Human,Mouse
Immunogen:
Recombinant fusion protein containing a sequence corresponding to amino acids 31-170 of human CAMP (NP_004336.3).
This gene encodes a member of an antimicrobial peptide family, characterized by a highly conserved N-terminal signal peptide containing a cathelin domain and a structurally variable cationic antimicrobial peptide, which is produced by extracellular proteolysis from the C-terminus. The protein plays an important role in innate immunity defense against viruses. In addition to its antibacterial, antifungal, and antiviral activities, the encoded protein functions in cell chemotaxis, immune mediator induction, and inflammatory response regulation.
Purification Method:
Affinity purification
Gene ID:
820
Storage Buffer:
Store at -20℃. Avoid freeze / thaw cycles.Buffer: PBS with 0.05% proclin300,50% glycerol,pH7.3.
Western blot analysis of lysates from Mouse spleen, using (CAB1640) at 1:1000 dilution.Secondary antibody: HRP Goat Anti-Rabbit IgG (H+L) (CABS014) at 1:10000 dilution.Lysates/proteins: 25μg per lane.Blocking buffer: 3% nonfat dry milk in TBST.Detection: ECL Basic Kit (AbGn00020).Exposure time: 10s.