The Cadherin-23 Polyclonal Antibody (CAB2785) is a valuable tool for researchers studying Cadherin-23, a protein involved in cell-cell adhesion and signaling in various tissues, including the inner ear. This antibody is produced in rabbits and has been validated for use in Western blot applications with human samples.Cadherin-23 is a transmembrane protein that plays a crucial role in maintaining the structure and function of sensory hair cells in the inner ear. Mutations in the Cadherin-23 gene have been linked to hearing loss and vestibular dysfunction, making it a key target for studies related to auditory and balance disorders.
By using the Cadherin-23 Polyclonal Antibody, researchers can detect and analyze Cadherin-23 protein expression in different cell types and tissues, providing insights into its roles in normal development and disease states. This antibody is a valuable tool for investigations in the fields of sensory biology, neuroscience, and genetic disorders affecting the auditory system.
Product Name:
CDH23 Rabbit Polyclonal Antibody
SKU:
CAB2785
Size:
20uL, 100uL
Isotype:
IgG
Host Species:
Rabbit
Reactivity:
Human,Mouse
Immunogen:
Recombinant protein of human CDH23
Tested Applications:
WBIHC-PELISA
Recommended Dilution:
WB,1:500 - 1:2000 IHC-P,1:100 - 1:200
Synonyms:
PITA5; USH1D; CDHR23; CDH23
Conjugate:
Unconjugated
Cellular Localization:
Cell membrane, Single-pass type I membrane protein.
Calculated MW:
369kDa
Observed MW:
Refer to Figures
This gene is a member of the cadherin superfamily, whose genes encode calcium dependent cell-cell adhesion glycoproteins. The encoded protein is thought to be involved in stereocilia organization and hair bundle formation. The gene is located in a region containing the human deafness loci DFNB12 and USH1D. Usher syndrome 1D and nonsyndromic autosomal recessive deafness DFNB12 are caused by allelic mutations of this cadherin-like gene. Upregulation of this gene may also be associated with breast cancer. Alternative splice variants encoding different isoforms have been described.
Purification Method:
Affinity purification
Gene ID:
64072
Storage Buffer:
Store at -20℃. Avoid freeze / thaw cycles.Buffer: PBS with 0.05% proclin300,50% glycerol,pH7.3.
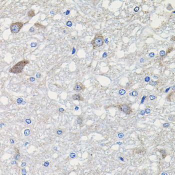
Immunohistochemistry analysis of paraffin-embedded mouse brain using CDH23 Rabbit pAb (CAB2785) at dilution of 1:100 (40x lens).Perform microwave antigen retrieval with 10 mM PBS buffer pH 7.2 before commencing with IHC staining protocol.