The BSCL2 Polyclonal Antibody (CAB14583) is a valuable tool for researchers studying BSCL2, a protein involved in lipid metabolism and the development of metabolic disorders. This antibody, produced in rabbits, exhibits high specificity for BSCL2 in human samples and is validated for use in Western blotting applications. By binding to the BSCL2 protein, this antibody enables accurate detection and analysis in various cell types, making it an ideal choice for investigations in the fields of metabolism, obesity, and related diseases.BSCL2, also known as seipin, plays a crucial role in lipid droplet formation and adipocyte differentiation, making it a key player in energy storage and utilization.
Mutations in the BSCL2 gene have been linked to disorders such as congenital generalized lipodystrophy and insulin resistance, highlighting the importance of understanding BSCL2 function in metabolic health. By studying BSCL2 with the help of this reliable antibody, researchers can gain insights into the molecular mechanisms underlying metabolic disorders and potentially identify new therapeutic targets for intervention.
Product Name:
BSCL2 Rabbit Polyclonal Antibody
SKU:
CAB14583
Size:
20uL, 100uL
Isotype:
IgG
Host Species:
Rabbit
Reactivity:
Human,Mouse,Rat
Immunogen:
Recombinant fusion protein containing a sequence corresponding to amino acids 265-363 of human BSCL2 (NP_116056.3).
This gene encodes the multi-pass transmembrane protein protein seipin. This protein localizes to the endoplasmic reticulum and may be important for lipid droplet morphology. Mutations in this gene have been associated with congenital generalized lipodystrophy type 2 or Berardinelli-Seip syndrome, a rare autosomal recessive disease characterized by a near absence of adipose tissue and severe insulin resistance. Alternatively spliced transcript variants encoding different isoforms have been found for this gene. Naturally occurring read-through transcription occurs between this locus and the neighboring locus HNRNPUL2 (heterogeneous nuclear ribonucleoprotein U-like 2).
Purification Method:
Affinity purification
Gene ID:
26580
Storage Buffer:
Store at -20℃. Avoid freeze / thaw cycles.Buffer: PBS with 0.01% thimerosal,50% glycerol,pH7.3.
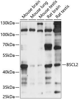
Western blot analysis of various lysates using BSCL2 Rabbit pAb (CAB14583) at 1:1000 dilution.Secondary antibody: HRP Goat Anti-Rabbit IgG (H+L) (CABS014) at 1:10000 dilution.Lysates/proteins: 25μg per lane.Blocking buffer: 3% nonfat dry milk in TBST.Detection: ECL Basic Kit (AbGn00020).Exposure time: 30s.