The Baiap3 Polyclonal Antibody (PAC056732) is a valuable tool for researchers studying the Baiap3 protein, a key player in cell signaling and cytoskeletal dynamics. This antibody, generated in rabbits, exhibits high specificity and sensitivity in detecting Baiap3 in various cell types and tissues. It has been validated for use in Western blot applications, allowing for accurate quantification and analysis of Baiap3 expression levels.Baiap3, also known as IRSp53, is involved in diverse cellular processes such as actin polymerization, membrane dynamics, and cell migration.
Its role in intracellular signaling pathways makes it a promising target for investigating various biological processes, including cancer progression, neuronal development, and immune system regulation. By understanding the function of Baiap3, researchers can gain insights into its implications in health and disease, paving the way for potential therapeutic interventions.
Antibody Name:
BAIAP3 Antibody (PACO56732)
Antibody SKU:
PACO56732
Size:
50ug
Host Species:
Rabbit
Tested Applications:
ELISA, IHC
Recommended Dilutions:
ELISA:1:2000-1:10000, IHC:1:200-1:500
Species Reactivity:
Human
Immunogen:
Recombinant Human BAI1-associated protein 3 protein (131-257AA)
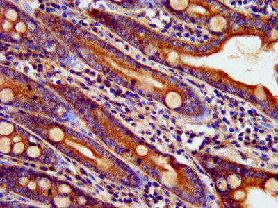
IHC image of PACO56732 diluted at 1:400 and staining in paraffin-embedded human small intestine tissue performed on a Leica BondTM system. After dewaxing and hydration, antigen retrieval was mediated by high pressure in a citrate buffer (pH 6.0). Section was blocked with 10% normal goat serum 30min at RT. Then primary antibody (1% BSA) was incubated at 4°C overnight. The primary is detected by a biotinylated secondary antibody and visualized using an HRP conjugated SP system.
IHC image of PACO56732 diluted at 1:400 and staining in paraffin-embedded human brain tissue performed on a Leica BondTM system. After dewaxing and hydration, antigen retrieval was mediated by high pressure in a citrate buffer (pH 6.0). Section was blocked with 10% normal goat serum 30min at RT. Then primary antibody (1% BSA) was incubated at 4°C overnight. The primary is detected by a biotinylated secondary antibody and visualized using an HRP conjugated SP system.
BAI1-associated protein 3 (BAP3), BAIAP3, KIAA0734
UniProt Protein Function:
BAIAP3: 2 isoforms of the human protein are produced by alternative splicing.Protein type: Motility/polarity/chemotaxisChromosomal Location of Human Ortholog: 16p13.3Molecular Function: protein C-terminus bindingBiological Process: G-protein coupled receptor protein signaling pathway; neurotransmitter secretion
UniProt Protein Details:
NCBI Summary:
This p53-target gene encodes a brain-specific angiogenesis inhibitor. The protein is a seven-span transmembrane protein and a member of the secretin receptor family. It interacts with the cytoplasmic region of brain-specific angiogenesis inhibitor 1. This protein also contains two C2 domains, which are often found in proteins involved in signal transduction or membrane trafficking. Its expression pattern and similarity to other proteins suggest that it may be involved in synaptic functions. Several transcript variants encoding different isoforms have been found for this gene. [provided by RefSeq, Nov 2010]