The ART3 Monoclonal Antibody (PAC015565) is a valuable tool for researchers studying ART3, a protein involved in ADP-ribosylation. This antibody, derived from mouse hybridoma cells, is highly specific to human ART3 and is validated for use in various applications, including Western blotting and immunofluorescence.ART3 is a key player in post-translational modification processes, particularly in the ADP-ribosylation of proteins. Its role in regulating cellular functions, such as DNA repair, chromatin structure, and cell signaling, makes it a prime target for investigation in fields like cancer biology and epigenetics.
By using the ART3 Monoclonal Antibody, researchers can effectively detect and analyze ART3 expression in different cell types, providing insights into its functional roles and potential implications in disease mechanisms. This antibody is a valuable tool for advancing our understanding of ADP-ribosylation pathways and their significance in cellular processes.
Antibody Name:
ART3 Antibody (PACO15565)
Antibody SKU:
PACO15565
Size:
50ul
Host Species:
Rabbit
Tested Applications:
ELISA, IHC
Recommended Dilutions:
ELISA:1:1000-1:5000, IHC:1:50-1:200
Species Reactivity:
Human
Immunogen:
Fusion protein of human ART3
Form:
Liquid
Storage Buffer:
-20°C, pH7.4 PBS, 0.05% NaN3, 40% Glycerol
Purification Method:
Antigen affinity purification
Clonality:
Polyclonal
Isotype:
IgG
Conjugate:
Non-conjugated
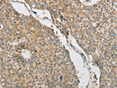
The image on the left is immunohistochemistry of paraffin-embedded Human lung cancer tissue using PACO15565(ART3 Antibody) at dilution 1/40, on the right is treated with fusion protein. (Original magnification: x200).
The image on the left is immunohistochemistry of paraffin-embedded Human thyroid cancer tissue using PACO15565(ART3 Antibody) at dilution 1/40, on the right is treated with fusion protein. (Original magnification: x200).
Background:
This gene encodes an arginine-specific ADP-ribosyltransferase. The encoded protein catalyzes a reversible reaction which modifies proteins by the addition or removal of ADP-ribose to an arginine residue to regulate the function of the modified protein. An ADP-ribosyltransferase pseudogene is located on chromosome 11. Multiple transcript variants encoding different isoforms have been found for this gene.
Synonyms:
ADP-ribosyltransferase 3
UniProt Protein Function:
ART3: an arginine-specific ADP-ribosyltransferase. The encoded protein catalyzes a reversible reaction which modifies proteins by the addition or removal of ADP-ribose to an arginine residue to regulate the function of the modified protein. An ADP-ribosyltransferase pseudogene is located on chromosome 11. Multiple transcript variants encoding different isoforms have been found for this gene. [provided by RefSeq, Dec 2011]
This gene encodes an arginine-specific ADP-ribosyltransferase. The encoded protein catalyzes a reversible reaction which modifies proteins by the addition or removal of ADP-ribose to an arginine residue to regulate the function of the modified protein. An ADP-ribosyltransferase pseudogene is located on chromosome 11. Multiple transcript variants encoding different isoforms have been found for this gene. [provided by RefSeq, Dec 2011]