The Apolipoprotein L1 Polyclonal Antibody (CAB7943) is a valuable tool for research involving apolipoprotein L1, a protein known for its role in lipid metabolism and immune response regulation. This antibody, produced in rabbits, is highly specific for human samples and has been validated for use in various applications, including Western blotting. By binding to the apolipoprotein L1 protein, researchers can accurately detect and study its functions in different cell types, making it an ideal choice for studies in immunology and metabolic disorders.
Apolipoprotein L1 is an important player in lipid homeostasis and has been implicated in various diseases, including cardiovascular disorders and kidney diseases. Its involvement in immune response modulation also highlights its potential as a therapeutic target for conditions like autoimmune disorders and inflammatory diseases. By investigating the roles and interactions of apolipoprotein L1, researchers can gain valuable insights into disease mechanisms and potential treatment strategies.
Product Name:
APOL1 Rabbit Polyclonal Antibody
SKU:
CAB7943
Size:
20uL, 100uL
Isotype:
IgG
Host Species:
Rabbit
Reactivity:
Human,Rat
Immunogen:
Recombinant fusion protein containing a sequence corresponding to amino acids 179-398 of human APOL1 (NP_003652.2).
This gene encodes a secreted high density lipoprotein which binds to apolipoprotein A-I. Apolipoprotein A-I is a relatively abundant plasma protein and is the major apoprotein of HDL. It is involved in the formation of most cholesteryl esters in plasma and also promotes efflux of cholesterol from cells. This apolipoprotein L family member may play a role in lipid exchange and transport throughout the body, as well as in reverse cholesterol transport from peripheral cells to the liver. Several different transcript variants encoding different isoforms have been found for this gene.
Purification Method:
Affinity purification
Gene ID:
8542
Storage Buffer:
Store at -20℃. Avoid freeze / thaw cycles.Buffer: PBS with 0.02% sodium azide,50% glycerol,pH7.3.
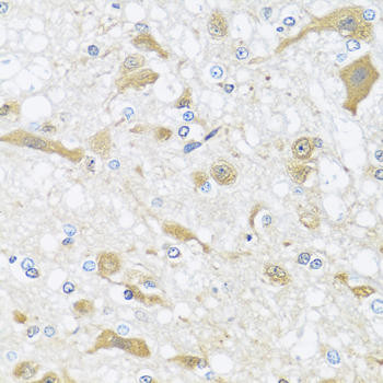
Immunohistochemistry analysis of paraffin-embedded Rat brain using APOL1 Rabbit pAb (CAB7943) at dilution of 1:100 (40x lens).Perform microwave antigen retrieval with 10 mM PBS buffer pH 7.2 before commencing with IHC staining protocol.