The ACADSB Polyclonal Antibody (CAB15019) is a valuable tool for researchers studying ACADSB, an enzyme involved in fatty acid metabolism and beta-oxidation. This antibody, produced in rabbits, exhibits high reactivity with human samples and has been validated for use in Western blot applications. By specifically binding to the ACADSB protein, this antibody enables precise detection and analysis in a variety of cell types, making it ideal for studies in metabolism, lipid disorders, and related diseases.
ACADSB plays a crucial role in breaking down fatty acids for energy production, making it essential for proper metabolic function. Dysregulation of ACADSB has been linked to various metabolic disorders, making it a promising target for drug development and therapeutic interventions. Research into the function and regulation of ACADSB is key to advancing our understanding of metabolic processes and identifying new strategies for treating metabolic diseases.
Product Name:
ACADSB Rabbit Polyclonal Antibody
SKU:
CAB15019
Size:
20uL, 100uL
Isotype:
IgG
Host Species:
Rabbit
Reactivity:
Human,Mouse,Rat
Immunogen:
Recombinant fusion protein containing a sequence corresponding to amino acids 133-432 of human ACADSB (NP_001600.1).
Short/branched chain acyl-CoA dehydrogenase(ACADSB) is a member of the acyl-CoA dehydrogenase family of enzymes that catalyze the dehydrogenation of acyl-CoA derivatives in the metabolism of fatty acids or branch chained amino acids. Substrate specificity is the primary characteristic used to define members of this gene family. The ACADSB gene product has the greatest activity towards the short branched chain acyl-CoA derivative, (S)-2-methylbutyryl-CoA, but also reacts significantly with other 2-methyl branched chain substrates and with short straight chain acyl-CoAs. The cDNA encodes for a mitochondrial precursor protein which is cleaved upon mitochondrial import and predicted to yield a mature peptide of approximately 43.7-KDa.
Purification Method:
Affinity purification
Gene ID:
36
Storage Buffer:
Store at -20℃. Avoid freeze / thaw cycles.Buffer: PBS with 0.01% thimerosal,50% glycerol,pH7.3.
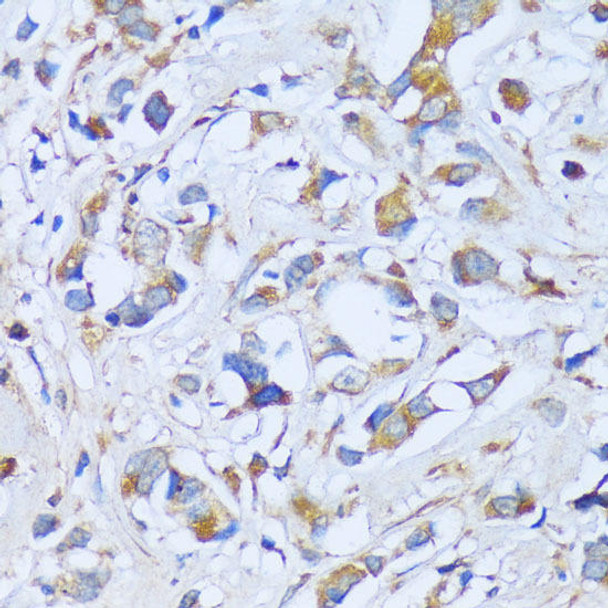
Immunohistochemistry analysis of paraffin-embedded rat brain using ACADSB Rabbit pAb (CAB15019) at dilution of 1:100 (40x lens).Perform microwave antigen retrieval with 10 mM PBS buffer pH 7.2 before commencing with IHC staining protocol.